What is gingivitis?

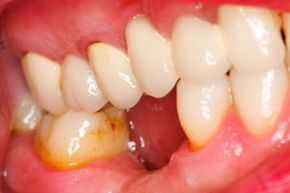
teeth affected by gingivitis
The best treatment for gingivitis is good oral hygiene to prevent it from occurring.
©iStockphoto.com/Alexandru Kacso

The food and drinks you consume throughout the day leave behind a sticky film or residue on your teeth. While most people appreciate the need for regular brushing and flossing to prevent cavities, you may be unaware of what can happen when excess plaque gets trapped below your gum line. Over time, plaque that builds up around the gums hardens into a substance called tartar. This tartar creates a gap between the teeth and the gums, which allows bacteria to travel below the gum line, resulting in a condition known as gingivitis. Gingivitis is characterized by pain and swelling of the gums, which can lead to infection and more serious oral health problems if left untreated.

Even people who brush and floss regularly are not necessarily immune from the effects of this disease. In fact, the majority of adults and adolescents suffer from some level of gingivitis, and many don't even know it [source: Net Wellness]. While advanced cases of this condition can result in pain or tenderness, people with mild gingivitis may not have any pain. Some sure signs of gingivitis include red or swollen gums, a bad odor or unpleasant taste in the mouth or even visible separation between gums and teeth [source:University of Iowa].

Advertisement

Unfortunately, gingivitis is only the first step on the path to poor oral health. Left untreated, gingivitis develops into a condition known as periodontitis. With periodontitis, it's not just the gums that are at risk, but also the underlying ligaments and bone structure that support the teeth. Plaque, tartar and bacteria below the gums result in permanent damage to these structures, which causes the teeth to loosen or shift away from one another. Periodontitis can eventually cause tooth loss [source:University of Iowa].

Ready to arm yourself in the fight against gingivitis? Read on to learn how you can protect yourself from gum disease.

Advertisement

Gingivitis Prevention and Treatment

Poor dental hygiene is one of the primary causes of gingivitis. A diet that's high in sugar, coupled with irregular brushing and flossing, allows plaque to build up quickly on and around the gum line. This condition can also be caused or worsened by irritation from ill-fitting dental devices such as dentures or braces. Misaligned teeth pose a two-fold threat to the gums: Teeth that are crowded or out of alignment make proper oral care more challenging and more difficult to remove plaque. These teeth can also serve as an irritant in the same way as a poorly fitted denture, resulting in an increased risk for gingivitis [sources: SUNY, University of Maryland].

You may also be surprised to know that brushing or flossing too vigorously is a leading cause of gingivitis. Too much pressure irritates the gums and may leave your mouth more vulnerable to plaque and bacteria. Hormonal changes, illness and even certain types of medications can also contribute to gingivitis [source: University of Maryland].

Advertisement

Fortunately, this condition is completely reversible if you catch it before periodontitis sets in [source: University of Maryland]. While you can't remove tartar from below the gum lines on your own, a dentist can clean the area and reverse the effects of gingivitis. Your dentist may also prescribe antibacterial mouthwash or medications to ensure all bacteria and toxins have been removed.

Of course, prevention remains the most effective treatment against this disease. Schedule a checkup with your dentist at least once a year, and maintain effective oral care habits. Brush and floss at least twice a day using a soft-bristled brush, and use gentle pressure while doing so. Stick to a healthy diet, and minimize consumption of sticky foods like soda and candy. If you experience severe or chronic gingivitis, talk to your doctor about any medications you may be taking to determine if they could be the cause of your oral health woes. Finally, replace any dental devices that don't fit properly, and consider investing in orthodontic work to correct misaligned teeth [source: University of Maryland].

Advertisement

Lots More Information

Related Articles

  • Case Western Reserve University. "Poor Oral Health Linked to Prostate Disease." 2011. (Aug. 24, 2011) http://www.case.edu/think/breakingnews/prostatediseaselink.html
  • Net Wellness. "Gum Diseases." The University of Cincinnati. 2011. (Aug. 24, 2011) http://www.netwellness.uc.edu/healthtopics/gumdisease/
  • SUNY Upstate Medical University. "Gingivitis." 2008. (Aug. 24, 2011) http://library.upstate.edu/frc/resources/eil/oral3855.php
  • University of Iowa. "Gum (Periodontal) Disease." 2011. (Aug. 24, 2011) https://www.dentistry.uiowa.edu/patient-care-periodontal
  • University of Maryland Medical Center. "Gingivitis--Overview." 2011. (Aug. 24, 2011) http://www.umm.edu/ency/article/001056.htm
  • University of Maryland Medical Center. "Gingivitis--Treatment." Oct. 28, 2008. (Aug. 24, 2011) http://www.umm.edu/ency/article/001056trt.htm

Advertisement

Loading...